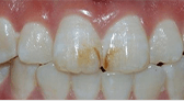
牙齒變色
-
黄牙
-
色素牙
-
茶漬牙
-
氟斑牙
-
四環素牙
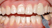
科學美白 • 安全有效
- 冷光美白
- 貼面美白
- 洗牙拋光
- 牙冠美白
-
適應症: 黃牙、黑牙、色素牙。
高強度彩光定點照射,去除牙齒表面的色素沉積、深層所附著的色素,讓您擁有一口潤白亮澤的牙齒。
-
適應症: 轻度四环素牙、氟斑牙。
陶瓷贴面、树脂贴面等贴在牙齿表面,通过改变前牙的颜色、大小、形态来达到美化前牙、美化微笑的热门方式。
-
適應症: 黃牙、黑牙、色素牙。
清除牙齒表面的菌斑色素成分,幫助牙齒恢復正常光澤。
-
適應症: 重度四环素牙、氟斑牙、黑牙。
不仅可以让牙齿整齐,还可以改变牙齿颜色,矫正、美齿一步到位,真正实现了全面美牙一站式治疗。
超薄牙貼面 • 數位化美學修復
牙貼是牙齒美白修復技術的一種,牙貼修復就是在變色或缺損牙齒表面粘貼一層近似正常牙色的材料,達到美白或修復的作用。這項技術已被口腔醫學廣泛運用,頗受消費者喜愛。
流行的牙貼可以分為樹脂貼面和瓷貼面兩種,是比較流行的牙齒美容方式。
美学修复全過程
-
1
全面口腔檢查,進行美學分析
醫生對口腔情況進行全面的基礎檢查與必要的基礎性治療,再結合牙齒情況提供美學修復方案的建議。
-
2
DSD美學設計,一對一確定專屬方案
借助DSD數位化系統精准分析數據,通過牙弓中線、微笑線、牙平面等參考線進行分析處理,達到微笑個性化與美觀效果。
-
3
制取蜡型,预见美学效果
牙科技師與美學醫師配合,製作並調整美學預覽蠟型,提前預見貼面效果。
-
4
印取牙模,加工製作
根據調整後的蠟型確定最終方案,印取口腔模型,運用數位化技術進行牙貼面製作。
-
5
精准比色,追求自然美觀
美學醫師結合面部美學分析,利用比色卡進行精准比色,確定最終美學貼面顏色。
-
6
初步試戴,調整舒適佩戴角度
美學醫師將最終製成貼面在口內進行試戴,並進行優化調整,確定最終佩戴方案。
-
7
佩戴贴面,定期复诊
根據試戴的調整方案,美學醫師進行貼面最終粘接,治療完成。並約定每年定期復診檢查。
DSD數字微笑設計
維港口腔連鎖將DSD數字微笑設計融入牙齒修復治療,醫生根據口腔美學標準,制定出符合顧客牙齒、臉型的口腔修復方案。
-
術前製備牙齒蠟型,提前預覽美學效果
-
DSD數字設計,結合微笑線,定制牙齒形狀
-
専業美學設計,美學修復醫生一對一跟進
維港口腔牙齒美學優勢
-
美學專家團隊與品牌優勢
維港口腔連鎖品牌機構牙齒美學修復專科彙聚國內與韓國口腔業界知名的牙醫專家,獲得數位化美學中心認證,與美加、Emax等多家牙齒美學品牌有緊密的技術合作。
-
應用DSD微笑美學設計
根據牙縫、前牙缺損情況,結合面部美學分析,通過DSD技術評估微笑與牙齒關係,確定前牙牙齦高度、長寬高度、大小比例,準確快速進行牙貼面設計。
-
蠟型演示,預見美學效果
預先在牙模上製作美學蠟型,提前預見貼面佩戴後的美學效果,再根據蠟型指導貼面製作,避免多次備牙損傷真牙。
-
高端數字化即刻美學
配備數位化設備,根據牙齒實際情況,精准測量與評估,全數位化診療,可實現“不磨牙、少磨牙”,擁有即刻數位化口腔掃描與3D列印中心,最快可當天治療當天佩戴貼面。
-
醫師1V1全程陪伴
每個案例都由矯正專家獨立跟進,專門處理,每位患者在漫長的矯正過程中都能有專業醫師的“專屬陪伴”。
-
牙貼面維護與保障
貼面後享2~5年的免費檢查,即時跟進,保障貼面效果。
牙齒美學價目表
牙貼面是牙齒美學修復的一個重大項目,可以解決牙齒發黃,牙縫間隙大,四環素牙、氟斑牙等牙齒不美觀問題,重現美麗自信笑容。
| 貼面材料 | 單位 | 價格 |
|---|---|---|
| 樹脂美白牙貼面 | 颗 | 1800元 |
| e-max美白牙貼面 | 颗 | 2800元 |
| 美加超薄牙貼面 | 颗 | 3800元 |
烤瓷牙是内部爲金屬材料,外部爲瓷材料的一種牙冠。
全瓷牙是采用與牙齒顔色相近的高強度瓷材料制成,不含金屬成分,仿真效果更好。
| 牙冠材料 | 單位 | 價格 |
|---|---|---|
| 鈷鉻合金烤瓷牙 | 颗 | 799元(特惠價) |
| 愛爾創全瓷牙 | 颗 | 1500元(特惠價) |
| 德國進口全瓷牙 | 颗 | 2800元(特惠價) |
熱門回答
Q & A
-
1Q什麼是冷光美白A冷光牙齒美白是種快速而又安全的牙齒美白技術。低溫冷光,不會對牙神經造成刺激。傳統的漂白劑會使牙齒變的敏感,而冷光美白的美白劑主要成分是過氧化氫,所以不會產生過敏現象,是很安全的。
-
2Q牙齒為什麼會發黃?A人的牙齒隨著年齡的增長和長期的使用,會逐漸有輕度顏色的改變。就和自己的皮膚樣,年青的時候潔白光潤,年紀大了則逐漸晦暗。這些都是無法避免的。
-
3Q牙齒發黃怎麼辦?A牙齿生理性变化难以避免,养成饭后漱口及早晚刷牙的良好口腔清洁习惯,可以帮助延缓牙齿变黄进程。